Выйти
Удалить свои данные
Семья и дети
Размер текста
А
А
А

Российские врачи спасли девочку с расширенным в пять раз пищеводом

В Подмосковье врачи спасли девятилетнюю девочку с расширенным в 5 раз пищеводом
true
true
true

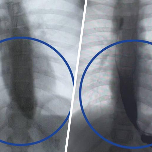
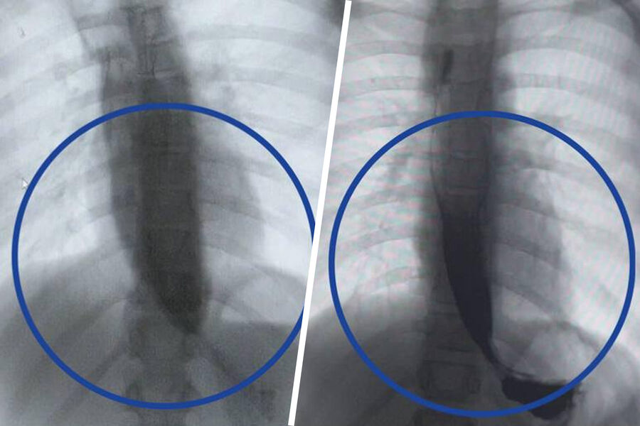
Врачи Детского клинического центра им. Л.М. Рошаля спасли девятилетнюю девочку с редким заболеванием — ахалазией кардии, из-за которого ее пищевод был расширен в пять раз. Об этом сообщили в пресс-службе минздрава Московской области.

Медики рассказали, что пищевод пациентки из-за патологии был расширен до четырех сантиметров, при норме в семь — десять миллиметров.

Специалисты объяснили, что девочка не могла питаться и практически не набирала вес из-за того, что у нее не расслаблялась нижняя часть пищевода, что препятствовало попаданию пищи в желудок.

«Мы через разрез в пищеводе создали подслизистый туннель и рассекли циркулярные мышцы, блокирующие проход пищи», — поделился заведующий отделением эндоскопических методов диагностики больницы Александр Иноземцев.

Операция прошла успешно, что уже на следующий день показало контрастное исследование — пища стала беспрепятственно поступать в желудок.

Ранее в Москве врачи спасли девочку с огромным количеством камней в желчном пузыре.

Что думаешь?
 
Невероятно заразен. Откуда берется «зимний кишечный грипп» и как его лечить