Врачи детской городской клинической больницы №9 спасли пятилетнюю девочку, проглотившую магниты. Об этом сообщили в пресс-службе минздрава Свердловской области.
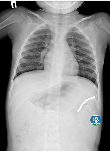
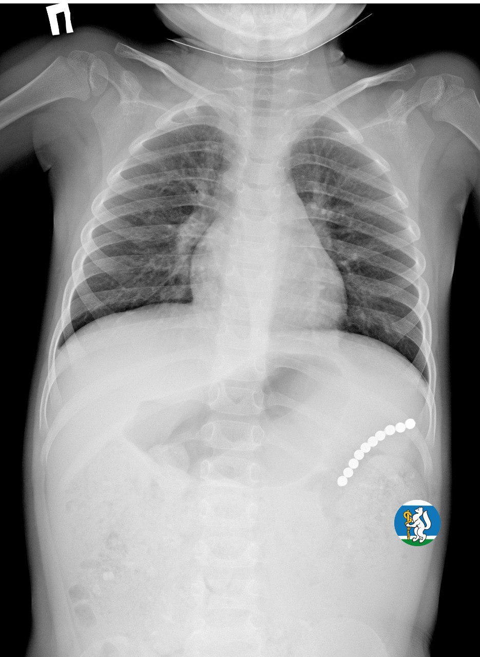
Девочка рассказала родителям о плохом самочувствии, и те показали ее врачам. Медики направили пациентку на рентген грудной клетки. Благодаря обследованию специалисты обнаружили в проекции желудка цепочку магнитов, соединенных между собой. Ребенку сразу же госпитализировали и оказали помощь.
«Для минимизации риска осложнений удаление инородных тел было проведено интраоперационно. В ходе вмешательства дежурная бригада врачей извлекла 10 магнитных шариков, цепочка которых в длину составила 5 сантиметров», — рассказал детский хирург ДГКБ №9 Андрей Чукреев.
После вмешательства девочка десять дней провела в стационаре. После контрольного обследования ее отпустили домой.
Ранее в Воронеже врачи спасли ребенка с магнитами, мигрировавшими в аппендикс.